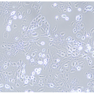
HMC3(人脑小胶质细胞系)
产品信息:
参考资料:
细胞样品分型结果:
细胞STR检测图谱:
参考文献:
【1】Grieco P, Balse-Srinivasan P, Han G, Weinberg D, MacNeil T, Van der Ploeg LH, Hruby VJ. Synthesis and biological evaluation on hMC3, hMC4 and hMC5 receptors of gamma-MSH analogs substituted with L-alanine. J Pept Res. 2002 May;59(5):203-10. doi: 10.1034/j.1399-3011.2002.01966.x. PMID: 11966977.
【2】Wong J, Love DR, Kyle C, Daniels A, White M, Stewart AW, Schnell AH, Elston RC, Holdaway IM, Mountjoy KG. Melanocortin-3 receptor gene variants in a Maori kindred with obesity and early onset type 2 diabetes. Diabetes Res Clin Pract. 2002 Oct;58(1):61-71. doi: 10.1016/s0168-8227(02)00126-2. PMID: 12161058.
【3】Bozdogan B, Esel D, Whitener C, Browne FA, Appelbaum PC. Antibacterial susceptibility of a vancomycin-resistant Staphylococcus aureus strain isolated at the Hershey Medical Center. J Antimicrob Chemother. 2003 Nov;52(5):864-8. doi: 10.1093/jac/dkg457. Epub 2003 Oct 16. PMID: 14563898.